Atendimento personalizado e humanizado
Uso de tecnologia avançada
Profissionais especializados e atualizados
Protocolos rigorosos de biossegurança
Ambiente confortável e seguro
Dr. Gustavo Vilela
Com mais de 25 anos de atuação, o Dr. Gustavo é o fundador da Rogus Saúde Bucal e referência em odontologia na região de Goiânia. Sua trajetória é marcada pelo compromisso com a excelência clínica, o cuidado individualizado e a busca constante por atualização profissional.
Na Rogus, ele une conhecimento técnico, sensibilidade e atenção aos detalhes para oferecer uma experiência segura, precisa e humanizada. Cada sorriso é tratado com respeito, ética e dedicação — valores que sustentam sua prática desde o primeiro dia.
Confira os principais procedimentos realizados na clínica:

Implantes dentários
Solução definitiva para reposição de dentes perdidos, com alta demanda em todas as faixas etárias adultas.

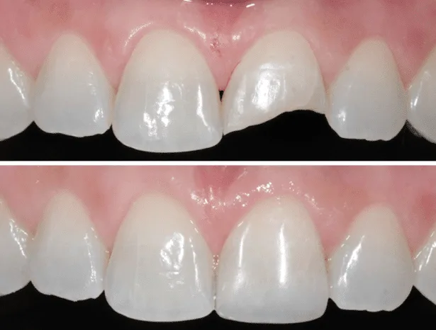
Facetas de porcelana
Ligadas à estética e harmonização do sorriso, têm crescido bastante em procura nos últimos anos.

Clareamento dental
Procedimento estético rápido e muito popular, especialmente entre jovens e adultos preocupados com a estética do sorriso.

Limpeza profissional
Parte da odontologia preventiva, é um dos atendimentos mais comuns e recorrentes em consultórios.

Restaurações estéticas
Muito solicitadas tanto para função quanto para estética, corrigindo danos ou repondo dentes.
Confira todos os procedimentos realizados na Rogus Saúde Bucal.
Aqui, tecnologia e humanização caminham juntas para que você se sinta à vontade, bem cuidado e seguro em todas as etapas do seu tratamento.
- Periodontia
- Diagnóstico e tratamento de doenças gengivais
- Manutenção periodontal
- Cirurgias periodontais
- Implantes Dentários
- Planejamento 3D e cirurgia guiada
- Reabilitação completa com próteses fixas e removíveis
- Estética Dental
- Clareamento dental
- Facetas de porcelana
- Reabilitação estética completa
- Restaurações e Próteses
- Coroas, pontes, onlays/inlays
- Restaurações estéticas avançadas
- Odontologia Preventiva
- Limpeza profissional
- Profilaxia e acompanhamento
- FAQ
Tire aqui as suas dúvidas!
Oferecemos uma ampla gama de tratamentos, incluindo limpeza profissional, restaurações estéticas, clareamento dental, implantes, tratamento de canal, cirurgias gengivais e reabilitação oral completa.
Você pode agendar sua consulta diretamente pelo nosso WhatsApp, telefone ou preenchendo o formulário na página de contato. Nossa equipe entrará em contato para confirmar o melhor horário.
Sim, atendemos convênios odontológicos.
A duração varia conforme o tipo de procedimento e as necessidades de cada paciente. Durante a avaliação inicial, o Dr. Gustavo explicará todas as etapas e o tempo estimado.
Sim! A Rogus Saúde Bucal atende tanto pacientes particulares quanto diversos planos odontológicos, incluindo:
IPASGO
GEAP
CelgOdonto/VIVACOM
UNIODONTO
TRT Goiás
Blog Rogus
A revolução na odontologia: mais conforto e menos medo para os pacientes
A odontologia vem passando por transformações impressionantes que tornam o...
Leia maisEstudo revela que uso de cannabis pode triplicar o risco de câncer bucal
Um estudo recente realizado pela Faculdade de Medicina da Universidade...
Leia mais3D Systems lança solução inovadora de prótese dentária impressa em 3D nos EUA
A 3D Systems acaba de lançar nos Estados Unidos a...
Leia mais- CONTATO
Agende a sua consulta hoje mesmo
Envie-nos uma mensagem. Iremos entrar em contato com você o mais breve possível. Ou se preferir, fale diretamente através do whatsapp.
+55 62 8139-8214
gvilela78@yahoo.com.br
Endereço
Rua João de Abreu, 116, Ed. Euro Working Concept, Salas 404 e 405a, St. Oeste, Goiânia-GO, Cep 74.120-110